안녕하세요 공남녀 스텔라 입니다. 오늘은 뇌종양에 대해 알아보도록 하겠습니다. 뇌종양 중에서도 가장 빈발하는 신경교종에 대해서 알아보겠습니다.
뇌종양 자세히 알려주세요
뇌종양이란 두개골 내에 생기는 모든 종양을 말하며 뇌와 뇌 주변 구조물에서 발생하는 모든 종양을 포함하고 있습니다. 다른 종양과 달리 두개골 안에서 성장을 하기 때문에 종양이 커지면 뇌압이 상승하여 뇌압상승 증상이 나타나도 종양에 의해 특정 부위가 눌려 압박되면 팔, 다리의 마비 또는 언어장애 등 뇌의 해당하는 부위가 담당하는 특정 기능에 장애가 발생을 하기도 합니다.
뇌종양은 발생 기원에 따라 뇌와 뇌 주변의 구조물에서 기원한 뇌종양과 신체의 다른 부위의 암에서 전이된 전이성 뇌종양으로 구분이 되며 원발성 뇌종양으로는 신경교종이 40% 정도로 가장 많고, 뇌수막종이 20~30%, 뇌하수체 선종이 15%, 청신경초종이 15%, 기타 종양이 10% 정도로 비중을 차지합니다.
뇌종양은 다른 암종과는 달리 다음의 특징들을 가집니다.
1. 종류가 매우 다양하고 그에 따라 치료법도 다양합니다.
2. 같은 종류의 종양도 위치와 크기에 따라서 수술이 불필요한 경우부터 사망에 이르는 경우까지 예후가 다양할 수 있습니다
3. 조직학적으로 양 성 종양도 임상적으로는 악성 종양과 같은 예후를 보이는 경우가 있어서 적극적인 치료가 필요합니다
4. 종류와 치료법이 다양하기 때문에 여러 과의 전문의 진료가 필요할 수 있습니다.
신경교종 알려주세요
신경교종은 뇌 또는 척수를 구성하는 세포에서 발생하는 종양입니다. 대부분의 신경교종은 뇌에서 발생하며 성상세포종(astrocytoma), 핍지교종(oligodendroglioma), 상의세포종(ependymoma)등의 여러 종류로 나누어지며 이중에서 가장 흔한 것이 성상세포종입니다. 교모세포종(glioblastoma)가 성상세포종의 하나로 가장 악성도가 높은 종양이며 전체 성상세포종의 50~60%를 차지합니다.
신경교종은 WHO에서 정한 뇌종양의 분류에 따라 저등급(비교적 경과가 좋은 종양)과 고등급(악성의 경과를 보이는 종양)으로 나누며 저등급의 신경교종은 비교적 젊은 성인(20대~40대)에서 가장 흔하게 발생하나 고등급으로 갈 수록 50~60대 이후의 성인에게서 발생하는 경향이 있습니다.

신경교종의 증상 알려주세요
신경교종의 증상은 발생하는 위치에 따라서 달라지게 됩니다. 대뇌에 발생한 신경교종에 의해 뇌압이 상승하게 되면 두통, 오심, 구토, 경련 등이 발생할 수 있으며 운동이나 감각 중추에 발생하는 경우에는 편 마비의 증상 등으로 발견되기도 합니다. 특히 소아에서 보행장애, 행동의 변화 등이 있는 경우 뇌교의 신경교종에 의한 증상이 아닌지 확인해봐야 합니다.
신경교종의 진단과 치료, 예후 알려주세요
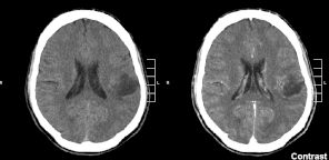
신경교종의 진단은 뇌 MRI 검사가 주된 방법이며 뇌 MRI 건사로 신경교종이 의심되는 경우에는 신경교종의 악성 정도를 예측하기 위해 핵의학검사(PET)를 시행하게 됩니다. 운동, 언어, 감각 중추 등 뇌의 중요 부위에 인접한 신경교중의 경우 안전한 수술의 계획을 위해서 추가적인 영상 검사(functional MRI, MEG등)를 시행할 수도 있습니다. 하지만 영상을 통한 진단은 추정적 진단이기 때문에 최종적인 확진은 수술을 통해 종양조직을 얻어 이 조직에 대한 병리학적인 검사를 해야 합니다.
신경교종의 치료는 종양의 악성도에 따라 달라지게 됩니다. 대부분 수술적 치료후에 방사선 치료나 화학항암치료 혹은 두가지를 모두 병용한 통합적 치료도 고려됩니다. 대부분의 신경교종에서 수술적치료로 종양을 완벽하게 제거하는 것은 어렵기 때문에 수술적 치료의 목적은 수술 후 환자의 신경학적 결손을 최소화 하면서 최대한 많은 양의 종양을 제거하는 것입니다. 특히 악성 신경교종에 대해서는 수술 후 화학항암-방사선 병용치료를 계획 할 수 있습니다. 대표적인 화학항암 약제로 테모졸로마이드(temozolomide)가 있고 이 약물은 뇌의 실질 안으로 침투를 잘하는 약물입니다.
신경교종의 경우 고등급의 경우 완치되는 경우가 흔치않아서 난치병의 하나이며 악성도가 높은 교모세포종의 경우 진단후 평균 생존율이 15~18개월 정도로 알려져 있습니다. 그러나 최근 새로운 치료법들이 적용되면서 평균 생존율이 연장되기도 합니다. 악성도가 낮은 신경교종의 경우면 예후가 비교적 좋은 편으로 알려져 있습니다. WHO 분류 2등급의 핍지세포종양의 경우 평균 생존율이 11~17년에 이르는 것으로 보고되기도 했습니다. 무엇보다 뇌종양의 경우 치료를 담당하는 팀의 유기적인 협력과 환자의 협조및 소통이 매우 중요하다고 할수 있겠습니다.
'스터디 미 > 몸 건강' 카테고리의 다른 글
| [암센터] 췌장암 알려주세요: 췌장암 위험요인, 증상, 치료, 예후 (0) | 2024.01.11 |
|---|---|
| [암센터] 간암 알려주세요 (0) | 2024.01.08 |
| [비뇨의학과] 말 못할 고민, 요실금 & 과민성 방광 알려주세요 (2) | 2024.01.02 |
| [안과] 눈 건조하세요? 건성안 알려주세요 (0) | 2023.12.29 |
| [안과] 실명까지 유발, 황반변성 알려주세요 (0) | 2023.12.27 |
댓글